다이어트 한약 안전할까요? 실제 진료 기준으로 정리했습니다.

다이어트 한약 안전할까요? 실제 진료 기준으로 정리했습니다.   안녕하세요.안양 비산동 다이어트한의원 고래한의원 원장 박대명입니다. 다이어트 한약 상담을 진행하다 보면 비슷한 질문을 자주 받습니다.“다이어트 한약 부작용 괜찮을까요?”“다이어트 한약에 들어가는 성분이 몸에...
안양 고래한의원 - 마황3 scaled

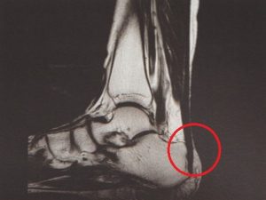
발목관절 염좌

발목관절 염좌 안녕하세요, 고래한의원 박대명 원장입니다. 오늘은 일상에서 흔히 “발목을 삐었어요”라고 말하는 상황과 관련된 발목 염좌에 대해 설명드리겠습니다. 발목 관절은 여러 개의 뼈가 맞물려 구성된 구조로, 상당히 정교하게 이루어져 있습니다....
안양 고래한의원 - 발목관절 염좌001

아킬레스 건염

아킬레스 건염 안녕하세요. 고래한의원 박대명 원장입니다. 오늘은 40~50대에서 비교적 자주 나타나며 외상이나 퇴행성 변화와 관련이 있는 ‘아킬레스 건염’에 대해 말씀드리겠습니다. 아킬레스건은 종아리 근육인 비복근과 가자미근에서 시작하여 종골에 부착되는 매우 강한...
안양 고래한의원 - 아킬레스 건염001

족저근막염 (발바닥 근막염)

족저근막염 (발바닥 근막염) 안녕하세요. 고래한의원 박대명 원장입니다. 오늘은 ‘족저근막염’, 즉 발바닥 근막에 발생하는 염증성 질환에 대해 말씀드리겠습니다. ‘족저근막염(발바닥 근막염)’은 종아리 근육의 긴장, 발 아치 구조의 이상, 장시간 보행이나 달리기와 같은...
안양 고래한의원 - 족저근막염001

퇴행성 무릎 골관절염 (퇴행성 슬관절염)

퇴행성 무릎 골관절염 (퇴행성 슬관절염) 안녕하세요. 고래한의원 박대명 원장입니다. 오늘은 중장년층에서 흔하게 나타나는 ‘퇴행성 무릎 골관절염’, 즉 ‘퇴행성 슬관절염’에 대해 말씀드리겠습니다. ‘퇴행성 무릎 골관절염(퇴행성 슬관절염)’은 이름 그대로 만성적이고 퇴행적인 변화로...
안양 고래한의원 - 퇴행성 무릎 골관절염001

슬개대퇴통증 증후군 (슬개골 연골연화증)

슬개대퇴통증 증후군 (슬개골 연골연화증) 안녕하세요. 고래한의원 박대명 원장입니다. 이번에는 과거 ‘슬개골 연골연화증’이라는 이름으로 알려졌던 ‘슬개대퇴통증 증후군’에 대해 안내드리겠습니다. 슬개대퇴통증 증후군은 이전에는 연골의 문제로 이해되어 ‘슬개골 연골연화증’이라 불렸으나, 실제로는 슬개골의 움직임이...
안양 고래한의원 - 슬개대퇴통증 증후군001

슬개건염 (슬개하건염)

슬개건염 (슬개하건염) 안녕하세요. 고래한의원 박대명 원장입니다. 이번에는 무릎 통증으로 내원하시는 분들 가운데 비교적 높은 비율을 차지하는 질환인 ‘슬개건염’에 대해 말씀드리겠습니다. 대퇴사두근은 슬개골을 지나 경골의 돌출된 부위인 경골조면에 부착되어 있습니다. 이때...
안양 고래한의원 - 슬개건염001

거위발 점액낭염 (거위발 활액낭염)

거위발 점액낭염 (거위발 활액낭염) 안녕하세요. 고래한의원 박대명 원장입니다. 오늘은 무릎 안쪽 통증의 원인 중 하나로 자주 언급되는 ‘거위발 점액낭염(거위발 활액낭염)’에 대해 안내드리겠습니다. 점액낭염은 피부, 힘줄, 인대 등이 서로 마찰 없이...
안양 고래한의원 - 거위발 점액낭염 거위발 활액낭염001

장경인대증후군

장경인대증후군 안녕하세요. 고래한의원 박대명 원장입니다. 오늘은 자전거 라이딩이나 마라톤 등 반복적인 하체 운동을 즐기시는 분들에게 자주 나타나는 ‘장경인대증후군’에 대해 말씀드리겠습니다. 장경인대는 골반의 장골과 전상장골극 부위에서 시작되는 대퇴근막장근에서 이어져, 허벅지 바깥쪽을...
안양 고래한의원 - 장경인대증후군001

삼각섬유연골복합체 손상 (TFCC)

삼각섬유연골복합체 손상 (TFCC) 안녕하세요. 고래한의원 원장 박대명입니다. 오늘은 손목의 바깥쪽, 즉 척측 부위 통증을 유발할 수 있는 ‘삼각섬유연골복합체 손상’, TFCC(Triangular Fibrocartilage Complex)에 대해 말씀드리겠습니다. 삼각섬유연골복합체는 손목의 원위 척골과 척측 수근골...
안양 고래한의원 - 삼각섬유연골복합체 손상 TFCC001

로그인