족저근막염 (발바닥 근막염)

안양 고래한의원 - 족저근막염 (발바닥 근막염)

족저근막염 (발바닥 근막염)

안녕하세요. 고래한의원 박대명 원장입니다.

오늘은 ‘족저근막염’, 즉 발바닥 근막에 발생하는 염증성 질환에 대해 말씀드리겠습니다.

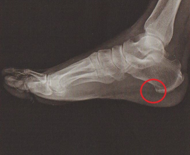
족저근막염001

‘족저근막염(발바닥 근막염)’은 종아리 근육의 긴장, 발 아치 구조의 이상, 장시간 보행이나 달리기와 같은 반복적인 사용, 골극 등의 영향으로 인해 발바닥에 위치한 족저근막에 염증이 생기는 질환입니다. 족저근막염002

증상의 특징

▶ 발 뒤꿈치 주변에서 통증이 주로 나타납니다.
▶ 아침에 일어나 첫걸음을 내디딜 때 통증이 특히 심하게 느껴집니다.
▶ 걷거나 오래 서 있을수록 통증이 점점 증가하는 경향이 있습니다.

 

환자의 호소

▶ 아침에 발을 처음 디딜 때 통증이 강하게 느껴진다고 말씀하십니다.
▶ 증상이 진행되면 오래 서 있기만 해도 통증이 심해진다고 호소합니다.

 

치료 기간

약 3주에서 4주 정도의 관리가 필요한 경우가 많습니다.

 

치료 목표

통증 감소
염증 반응 완화

 

치료 방법

도침 치료
약침 치료
침 및 전침 치료
전기 물리치료
온열 치료

 

생활 관리 방법

▶ 발에 부담이 적은 편안한 신발을 착용하는 것이 중요합니다.
▶ 골프공이나 테니스공 등을 이용하여 발바닥 근막을 풀어주는 스트레칭을 병행하는 것이 도움이 됩니다.

족저근막염003

족저근막염의 통증은 주로 발 뒤꿈치 부근에서 가장 많이 나타나며, 경우에 따라 주변 부위까지 퍼지는 양상을 보이기도 합니다.
족저근막염004치료 시에는 환자마다 통증을 느끼는 위치가 다를 수 있기 때문에, 발 뒤꿈치 중심인지 또는 안쪽 부위인지 등 정확한 통증 지점을 확인하여 접근하는 것이 중요합니다.
족저근막염005발바닥은 감각이 예민한 부위이기 때문에 시술 시 통증이 느껴질 수 있으나, 자극 이후에는 비교적 유지되는 효과를 기대할 수 있는 것으로 알려져 있습니다. 족저근막염006본원에서는 도침과 약침을 함께 활용하고 있으며, 족저근막염의 경우 작은 크기의 도침과 중간 길이의 약침을 사용하여 시술을 진행합니다.

도침의 특징

도침은 끝이 뾰족한 형태가 아닌 넓은 구조로 되어 있어 발바닥 근막과 같은 단단한 조직에 충분한 자극을 전달할 수 있습니다.

이 과정에서 혈류 흐름이 개선되면서 조직 회복이 촉진되고 염증 반응 완화에 도움이 됩니다.

족저근막염007

약침의 특징

약침은 한약재를 기반으로 추출 및 정제된 약액을 사용하여 병변 부위에 주입하는 방식으로, 염증을 줄이고 조직 회복을 유도합니다. 또한 부종으로 인해 신경이 눌리면서 발생하는 통증 완화에도 도움이 됩니다.

족저근막염008

족저근막염 치료 시에는 초음파 장비를 활용하여 발바닥 내부 구조를 확인하면서 시술을 진행할 수 있습니다. 이를 통해 보다 정확한 위치에 약침을 적용할 수 있어 치료의 정밀도를 높이는 데 도움이 됩니다.

본원에서는 초음파 유도 약침 시술을 통해 병변 부위를 직접 확인하며 치료를 시행하고 있습니다.

족저근막염009

최근 발표된 연구 결과에 따르면 도침 시술 이후 CRP, TNF와 같은 염증 관련 지표가 감소하고, 통증 평가 지표(VAS) 또한 낮아지는 경향이 확인되었습니다. 이는 혈류 개선과 조직 회복이 이루어지면서 통증이 완화되는 것으로 볼 수 있습니다.

본 포스팅은 박대명 원장이 직접 작성하였으며, 질환에 대한 정보 전달을 목적으로 작성되었습니다.

링크가 복사됐어요

로그인