어깨 석회화 건염

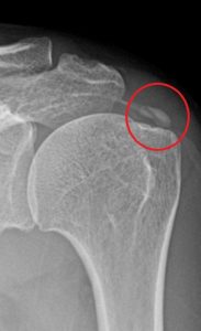
어깨 석회화 건염 안녕하세요 고래한의원 박대명 원장입니다. 오늘은 ‘어깨 석회화 건염’에 대해 말씀드리겠습니다. ‘어깨 석회화 건염’은 어깨 힘줄 부위에 석회 성분이 쌓이면서 통증을 유발하고, 관절의 움직임 범위에도 영향을 주는 상태입니다....
안양 고래한의원 - 어깨 석회화 건염01

로그인