손가락 퇴행성 관절염

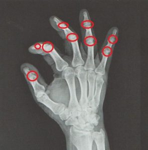
손가락 퇴행성 관절염 안녕하세요. 고래한의원 원장 박대명입니다. 오늘은 손가락 퇴행성 관절염에 대해 안내드리겠습니다. ‘손가락 퇴행성 관절염’은 손가락 관절의 활막 조직에 변화가 생기면서 점진적인 퇴행 과정을 거쳐 관절의 형태 변화나 구조적인...
안양 고래한의원 - 손가락 퇴행성 관절염001

로그인