손가락 퇴행성 관절염
안녕하세요. 고래한의원 원장 박대명입니다.
오늘은 손가락 퇴행성 관절염에 대해 안내드리겠습니다.

‘손가락 퇴행성 관절염’은 손가락 관절의 활막 조직에 변화가 생기면서 점진적인 퇴행 과정을 거쳐 관절의 형태 변화나 구조적인 이상이 나타나는 상태를 의미합니다.
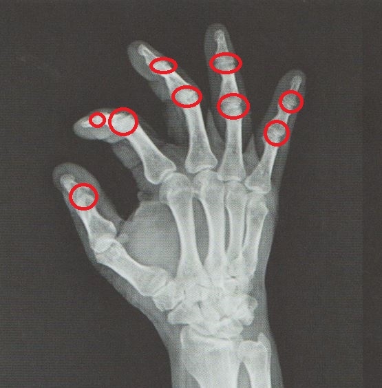
영상 검사에서는 PIP(근위지절) 및 DIP(원위지절) 관절 간격이 좁아지거나 골극이 형성되는 모습이 확인되는 경우가 있으며, 이는 전형적인 진행 양상으로 볼 수 있습니다.

손가락 관절염은 주로 특정 관절 부위를 중심으로 나타나며, 해당 부위를 기준으로 관리가 이루어집니다.
증상의 특징
▶ 주로 근위지절(PIP) 또는 원위지절(DIP) 관절에서 불편감 발생
▶ 손가락 관절 통증 및 뻣뻣한 느낌
▶ 움직임 범위 감소
환자분들이 주로 호소하는 내용
▶ 손가락이 아프고 불편해요.
▶ 손가락을 구부렸다 펴는 동작이 원활하지 않아요.
▶ 아침에 붓고 굳은 느낌 때문에 움직이기 힘들어요.
관리 기간
약 2~4주 정도 초기 관리 이후 지속적인 상태 관리가 필요할 수 있습니다.
관리의 방향
▶ 손가락 관절 통증 감소
▶ 관절의 움직임 개선
적용되는 방법
도침요법, 약침요법, 침 및 전침요법, 전기 자극요법, 온열 관리
생활 관리
관리 기간 동안 손가락의 과도한 사용을 줄이는 것이 중요합니다.

손가락 퇴행성 관절염의 경우 측부 인대, 결절이 형성된 부위, 그리고 신근건 부착 부위를 중심으로 관리가 이루어집니다.
특히 측부 인대와 결절 부위에서 통증이 자주 나타나며, 손가락을 구부리는 데 제한이 있는 경우에는 신근건 부착 부위를 함께 확인하여 접근합니다.

적용 과정에서는 비교적 깊은 조직까지 접근하여 1~2회 정도 자극 후 마무리하는 방식으로 진행됩니다. 골극 부위의 유착이 심한 경우에는 추가적인 자극이 필요한 경우도 있습니다. 무엇보다 환자분이 느끼는 압통 지점이 중요한 기준이 됩니다.

본원에서 사용하는 도침과 약침에 대해 설명드리겠습니다. 손가락 관절 부위는 구조가 작기 때문에 비교적 작은 크기의 도구를 활용합니다.
도침의 특징
일반 침과 달리 끝 부분이 납작한 형태를 가지고 있습니다. 인대와 관절 주변 조직에 작용하여 유착이나 긴장된 부위를 완화하는 데 활용됩니다. 혈류 순환을 촉진하여 조직 회복과 통증 감소에 도움을 줄 수 있습니다.

약침의 특징
한약 성분을 기반으로 추출 및 정제된 용액을 활용하여 문제 부위에 직접 적용합니다. 염증 반응과 부종을 줄이는 데 초점을 두며, 주변 조직의 부담을 완화하는 데 도움을 줄 수 있습니다. 또한 혈류 흐름을 돕는 방향으로 작용하여 조직 회복 과정에 영향을 줄 수 있습니다.

최근 연구에서는 도침 적용 이후 통증 지표(VAS)가 감소하고, TNF 및 CRP와 같은 염증 관련 수치가 낮아지는 결과가 보고된 바 있습니다.
이는 혈류 순환이 활성화되면서 조직 회복이 이루어지고 염증 반응이 줄어든 것으로 해석할 수 있습니다.
본 글은 박대명 원장이 직접 작성한 내용으로, 질환에 대한 이해를 돕기 위한 정보 제공 목적임을 안내드립니다.