아킬레스 건염
안녕하세요. 고래한의원 박대명 원장입니다.
오늘은 40~50대에서 비교적 자주 나타나며 외상이나 퇴행성 변화와 관련이 있는 ‘아킬레스 건염’에 대해 말씀드리겠습니다.

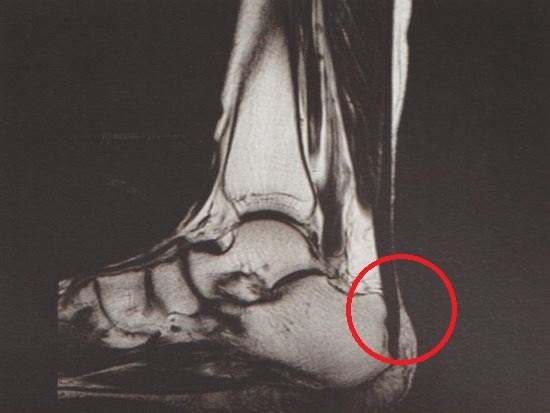
아킬레스건은 종아리 근육인 비복근과 가자미근에서 시작하여 종골에 부착되는 매우 강한 힘줄로, 인체에서 가장 큰 건에 해당합니다. 아킬레스건의 손상은 크게 건염과 건파열로 구분할 수 있습니다.

‘아킬레스 건염’은 발뒤꿈치 부위 통증을 유발하는 대표적인 원인 중 하나로, 발목의 반복적인 사용이나 과부하로 인해 발생하는 경우가 많습니다. 발바닥 방향으로 힘을 주어 움직일 때 통증이 나타나며, 아침에는 아킬레스건을 따라 뻣뻣함과 통증이 동반됩니다. 활동량이 늘어날수록 통증이 심해지고, 운동 이후에는 불편감이 더 뚜렷해지는 특징이 있습니다.
증상의 특징
▶ 아침 기상 시 아킬레스건을 따라 통증과 경직이 느껴집니다.
▶ 움직일수록 통증이 점차 심해지는 양상을 보입니다.
▶ 상태가 진행되면 가만히 있을 때에도 통증이 지속될 수 있습니다.
환자의 호소
▶ 아킬레스건 주변이 아프다고 느끼는 경우가 많습니다.
▶ 운동이나 장시간 보행 후 통증이 심해진다고 말씀하십니다.
▶ 아침에 일어났을 때 뻣뻣하고 아프다는 느낌을 호소합니다.
치료 기간
대략 4주에서 12주 정도의 관리가 필요한 경우가 많습니다.
치료 목표
통증 감소
아킬레스건 기능 회복
치료 방법
도침 치료
약침 치료
침 및 전침 치료
전기 물리치료
온열 치료
생활 관리 방법
▶ 통증을 유발하는 과도한 활동은 줄이는 것이 중요합니다.
▶ 증상이 완화되면 비복근 스트레칭과 재활 운동을 병행하는 것이 도움이 됩니다.

아킬레스 건염 치료 시에는 처음부터 모든 부위를 한 번에 자극하기보다는 2개 정도의 주요 포인트를 선정하여 시작하고, 경과에 따라 점차 치료 범위를 확대해 나갑니다.
특히 아킬레스건 자체보다는 건 주변 조직의 염증과 유착으로 인해 통증이 발생하는 경우가 많기 때문에, 주변부의 유착을 풀어주는 접근이 중요합니다.

아킬레스건 부착부 주변, 특히 종골 융기 부위와 건 주변의 압통점을 중심으로 치료를 진행합니다.

또한 비복근의 경우 발목을 족저굴곡 시켰을 때 도드라지는 부위의 압통점을 찾아 자극합니다.
본원에서는 도침과 약침을 함께 사용하고 있으며, 아킬레스 건염의 경우 작은 규격의 도침과 약침을 적용하여 치료를 진행합니다.
도침의 특징
도침은 끝이 넓은 형태로 되어 있어 큰 힘줄과 같은 조직에 충분한 자극을 줄 수 있습니다.
일반 침에 비해 조직에 전달되는 자극이 커서 혈류 흐름을 증가시키고 조직 회복을 촉진하는 데 도움이 됩니다. 이로 인해 염증 반응이 줄어들고 통증 완화에 기여할 수 있습니다.

약침의 특징
약침은 한약재를 기반으로 추출 및 정제된 약액을 병변 부위에 주입하는 방식으로, 염증을 줄이고 조직 회복을 돕는 역할을 합니다. 또한 부종으로 인해 신경이 압박되면서 나타나는 통증 완화에도 도움을 줄 수 있습니다.

발목 부위는 아킬레스건뿐 아니라 다양한 근육, 인대, 신경 구조가 복잡하게 얽혀 있는 부위입니다. 따라서 보다 정확한 치료를 위해서는 내부 구조를 확인하는 과정이 중요합니다.
본원에서는 초음파를 활용하여 아킬레스건과 주변 구조를 직접 확인하면서 시술을 진행하는 초음파 유도 약침 치료를 시행하고 있습니다. 이를 통해 보다 정밀한 치료가 가능하도록 하고 있습니다.

최근 연구 결과에 따르면 도침 치료 이후 통증 평가 지표(VAS)가 감소하고, CRP, TNF와 같은 염증 관련 수치 또한 낮아지는 경향이 확인되었습니다. 이는 혈류 개선과 조직 회복이 이루어지면서 통증이 완화되는 것으로 볼 수 있습니다.
이 포스팅은 박대명 원장이 직접 작성하였으며, 질환에 대한 정보 전달을 위해 작성되었음을 안내드립니다.